

正式名称はエステティックライン(Esthetic Line)で、1954年に米国の矯正歯科医 Dr.Robert Ricketts が「横顔の美しさ」を判定する指標として提唱されたものです。
鼻先(鼻尖)と顎先(オトガイ点)を一直線で結んだラインを指し、「上下唇がその線よりわずかに内側(あるいは触れる程度)」が理想的とされます。
ただし日本人は欧米人より鼻が低く下顎が小さい傾向があるため、Eライン“ピッタリ”より「唇がわずかに触れる程度」が現実的な美しさの目安とされています。
自宅でできる Eラインセルフチェック
<Result>

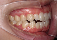
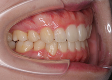
専門用語では「上下顎前突」といいます。
歯列あるいは骨格ごと前方に位置し、唇を閉じても口元が“もこっ”と盛り上がって見える状態のことで、横顔でEラインの外側に上下唇が位置し、下顎が引っ込んで見えるのが特徴です。
<審美面>
<機能面>
<健康面>
<先天的(遺伝・骨格)要因>
<後天的(習癖・環境)要因>
<軟組織要因>


<治療後のメリット>



Eライン・横顔の改善で自信アップ



口呼吸から鼻呼吸へ移行し虫歯・歯周病・口臭リスク低減



噛む・話す機能向上 ⇒ 顎関節・消化器への負担軽減



オトガイ筋の緊張緩和で“梅干しジワ”改善
美容外科で顎を削る前に、まずは歯科矯正で改善できるかを確認してみませんか?
当院では「横顔の黄金比」を追求しつつ、噛み合わせ・長期安定性を最優先に治療計画を立案します。まずはご相談ください。
矯正歯科治療に伴う一般的なリスクや副作用について