×
2026/01/03
院長 益田 勉HPはこちらhttps://www.masuda-kyousei.com/
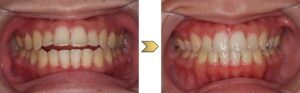
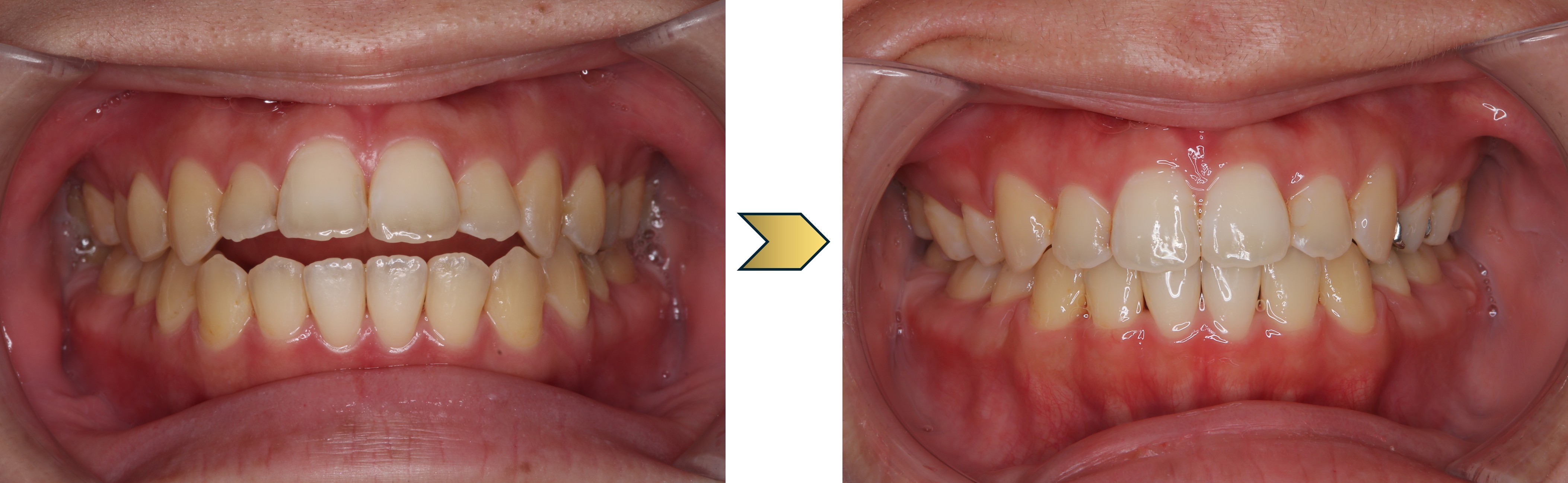
矯正・矯正歯科の恵比寿ますだ矯正歯科(恵比寿・渋谷)は、裏側から矯正治療やマウスピース矯正(インビザライン)矯正など、見えにくい、目立ちにくい矯正に力を入れています。追加料金のないシンプルな料金体系で、安心して美しい歯並びと口元を手に入れることができます。
Access & Hours