2026/01/03
口ゴボの矯正治療⑤
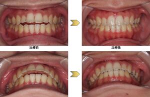
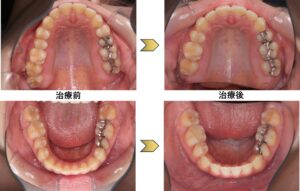
上顎前突と開咬の治療、表側の矯正治療 26歳 女性
上下の前歯が出ている、前歯が噛まない場合
・口元が出ている(E-lineが気になる)
・出っ歯が気になる
・前歯で噛めないのが気になる
とのことで来院されました。

・口元が突出して閉じにくい状態です。
・無理に閉じようとすると下あごに梅干し状のシワが出来てしまっています。
治療は上小臼歯2本、下小臼歯2本を抜歯、ハーフリンガル矯正装置で治療を行いました。
治療後は口元の突出感が改善しE-lineも改善しています。

・口元の緊張感が解消して、下あごの梅干し状のシワも改善しています。


・歯並びにでこぼこは無いですが、前歯が突出しています。
・上下の前歯はかみ合っていない開咬という状態です。

・治療後は上下前歯の突出が改善して、上下の前歯もかみ合っています。
「前歯で噛むってこんな感じなんですね」という感想をよく頂きます。

親知らずの抜歯と上小臼歯2本、下小臼歯2本を抜歯を行い前歯の突出と開咬を改善しました。
治療期間:2年4か月
使用した装置:マルチブラケット装置(ハーフリンガル:上裏側、下表側)
治療費:1,309,000円(処置料込)、
前歯の突出や前歯がかみ合わない原因は遺伝的なこともありますが、癖(くせ):低位舌が原因の一つになっていることも多いです。
低位舌①「舌の位置はどこにありますか?口ゴボの方、要注意!」
治療中を含め、装置を外した後も舌の位置を意識することは治療後の安定を得るためにもとても重要です。

歯並びとかみ合わせが治って、口元の雰囲気も変わることで矯正治療後の生活が素敵なものになると良いなと思いながら治療をしています。
矯正治療は自分の身体を変える作業なので簡単には済みません。
何年もかかって治療中は大変かとは思いますが、矯正治療後のことを考えるとやる価値はあると十分あると思っています。
一緒に頑張れる方応援しております。
2025/04/08
口ゴボの矯正治療④
上顎前突の治療、表側の矯正治療 29歳 女性
・下の歯並びが気になる
・上の前歯の出っ張りが気になる(口が少し開く)
・Eラインが気になる
とのことで来院されました。
<横顔の変化>
・下あごの大きさが小さく相対的に上あごが出ているように見えてしまうタイプ
:(日本人に多い)上顎前突
・上前歯が平均より前に出ている
・下前歯に顕著なでこぼこを認める
・咬み合わせが深い:上前歯が下の前歯が半分以上見えないくらい被ってしまっている:過蓋咬合
・下唇の方がやや出ているようにも見える状態がありました。
治療前

治療後

上小臼歯2本、下小臼歯2本を抜歯して上前歯は後退させ、下は前歯のでこぼこを改善しました。
歯を抜かないで並べると上下前歯が出てしまいEラインが悪くなってしまうので、前歯が出てしまうことを避けるために上下抜歯を行いました。
前歯が後退することで口ゴボが改善しています。Eラインも良好になりました。
上の唇が後退することで鼻が高くなったように見えます。
<正面の顔の変化>
治療前

治療後

顔の輪郭が少しすっきりしたような感じがあります。
抜歯をして前歯を後退させると人中が伸びてしまわないかという患者さんがたくさんいらっしゃいますが治療前後で人中が伸びたようなことは認められません。
人中が伸びて見えてしまうような場合には経験上、以下のことが考えられます。
・前歯が出ている量が著しい場合で、前歯を後退させる量が大きい場合
・年齢が30代半ば以降の場合(個人差があります)
などが挙げられると思います。
そのため30代半ば以降の場合は必要以上に前歯を後退させ過ぎないようにしています。
前歯を後退させる量はほどほどにして、抜歯したスペースが余る場合は奥歯を前に寄せて抜歯したスペース閉鎖します。
奥歯を前に移動するためには期間がかかる場合があります。
特に下の奥歯は動きにくいです。
治療期間がかかっても口元の見た目がよくなるためならその治療を頑張ります。
期間はお許しください。
<前歯の歯並びの変化>
治療前

治療後

<前歯の歯並びの変化>
治療前

治療後

治療前

治療後

2025/03/30
口ゴボの矯正治療③
上下顎前突の治療、上下裏側の矯正治療 27歳女性
歯が前に出ていて、唇を閉じるとアゴにシワができることが気になる
歯並びのでこぼこが気になるとのことで来院されました。
<横顔の変化>
治療前
☆ 下あごの大きさが小さく後退して相対的に上あごが出ているように見えるタイプ。
日本人に多いタイプです。
☆ 上下前歯は著しく前方に出ているため口ゴボになっています。

治療後

治療は上小臼歯2本と下小臼歯2本を抜歯して治療を行いました。
抜歯をして前歯を後退させると口元も後退するため口ゴボが改善しています。
その他の横顔の変化について
「口ゴボの矯正治療②」
「口ゴボの矯正治療①」
<よくある質問>
「抜歯した場合としない場合ではどう違うのですか?」
<正面顔の変化>
治療前
☆ 口が閉じにくいため無理に閉じようとすると下あごのオトガイの部分に梅干し状のシワができてしまいます。
☆ また右上の前歯が口唇を閉じても少し見えてしまっています。

治療後

治療後は口が閉じやすくなり、下あごの梅干し状のシワも改善しています。
<スマイルの変化>
治療前

治療後

歯並びのでこぼこが改善されるとスマイルの見た目の印象がかなり変わります。
<歯並びの変化>
治療前

上下前歯がでこぼこの状態です。
治療後

前歯のでこぼこが改善しています。
治療前

上下の前歯が前に出ています。
上下の前歯はかみ合っていない状態です。
治療後

上2本、下2本の抜歯を行い上下前歯を後退させました。
治療前

上下前歯が出ている状態です。
上下前歯にでこぼこが認められます。
治療後

上2本、下2本の抜歯を行い上下前歯を後退させました。
歯を抜かないで並べるとでこぼこは解消されるのですが必要以上に前歯が前に出てしまいます。
そのため前歯が出ている場合は抜歯を行った方が口元の状態は良くなります。
2025/03/15
トピック, 大人の矯正治療, 治療後のスマイル, 習癖と咬み合わせ
口ゴボの矯正治療②
上下顎前突の治療、裏側の矯正治療 21歳女性
治療前

前歯が出ていることが気になり来院されました。
上くちびるが前へ出て口ゴボの状態です。


上下前歯が出ており、上下前歯には隙間が生じている。
治療後

上は左右2本(第一小臼歯)を抜歯、下は歯を抜かないで治療をしました。
前歯が後退することで上下更新も後退して口ゴボが改善しています。


前方へ突出していた前歯が後退してかみ合わせも改善しています。
<矯正治療前後の横顔の変化>
治療前

治療後

治療後はE-lineが治療前より良好になっています。
また鼻唇角も小さくなっており、上唇が後退したことで鼻が高くなったように見えます。
<矯正治療前後の正面顔の変化>
治療前

治療後

治療後はフェイスラインがすっきりしており、人中が伸びたように見えることもありません。
<矯正治療前後のスマイルの変化>
治療前

治療後

2025/03/10
トピック, 大人の矯正治療, 治療後のスマイル, 習癖と咬み合わせ
「口ゴボが気になる」
上下顎前突の矯正治療、裏側の矯正治療 31歳 女性
上下前歯が出ている、口ゴボが気になることで来院されました。
<横顔の変化>
治療前
上下の前歯が出ている(上下顎前突)のケースです。
上は裏側、下は表側のハーフリンガル矯正装置で治療を行いました。

口元が突出していて口は閉じにくく、無理して口唇を閉じると顎に梅干し状のシワができてしまっています。
※矯正治療は上下の歯4番目の歯を抜歯して上下の前歯を後退させました(下写真)
治療後

それによって口元が後退してE-lineと鼻唇角が良くなっています。
また口唇が後退することで鼻が高くなったように見える効果もあります。
<正面顔の変化>
治療前

治療後

治療後は上下前歯が後退することで口唇が閉じやすくなったたね顎に見られた梅干し状のシワがなくなっています。
患者さんからよく質問されるのは
「前歯を後退させると人中が伸びたように見えませんか?」と聞かれるのですが、写真から分かるように変化はほんとんどありません。
治療後の全体的な見た目の感じは良好になっています。
<スマイルの変化>
治療前

治療後

<歯並び、前歯の変化>
治療前
上下前歯が前方に突出しています。

治療後
上2本、下2本の小臼歯を抜歯することで上下前歯の突出が改善しています。
前歯が後退すると歯茎も後退するため口元の突出も改善します。

<前歯の変化>
治療前

治療後
上下前歯の突出が改善しています。
