このような症状を「開咬(かいこう)/オープンバイト」といい、前歯が噛み合っていない状態です。口を閉じても前歯に隙間が開いたままだったり、サ行・ラ行をうまく発音できなかったり、食べ物をよく噛めないといった症状が伴います。原因は遺伝的なものと指しゃぶりや舌を唇から突き出す、舌の位置が悪い、鼻がつまりやすく口呼吸をするといった子供の頃からの癖の場合があります。
上下の前歯を閉じたとき隙間ができるため、食べ物を前歯で噛み切るのが難しく、横の歯で噛むようになります。奥歯でしか噛み合っていない場合は噛む力を奥歯で負担してしまうため発音しづらく、言葉が不明瞭で聞き取りにくくなることもあります。反対咬合と同様に遺伝的要因で症状が強い場合は外科的な矯正治療が必要になることがあります。

《 矯正治療Q&A 》
矯正治療の抜歯について-① なぜ抜歯をしなければならない場合があるのですか?
矯正治療の抜歯について-② 出っ歯を治すにはどうすればよいですか?
矯正治療の抜歯について-③ 抜歯した場合としない場合ではどう違うのですか?
矯正治療の抜歯について-④ 抜歯をしないでも済むのはどのような場合ですか?
部分矯正治療について


《 症例一覧 》
開咬の矯正治療 K.Hさん
開咬の矯正治療 T.Mさん
開咬の矯正治療 Y.Kさん
開咬の矯正治療 O.Mさん
前歯がでこぼこ、前歯が咬み合わない 27歳 女性
前歯が出ている、前歯が咬み合わない 20歳 女性
八重歯、前歯がでこぼこ、前歯が咬み合わない 20代 女性
開咬の矯正治療1
開咬の矯正治療2





左:治療前 右:治療後
右写真は治療が終了して装置を外した時のものです。
写真の使用に際して快く承諾して頂いたK.Hさんありがとうございます。



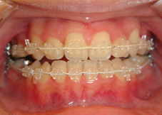
左:歯の移動開始時 - 装置装着時、前歯で噛めない噛み合わせの状態
右:矯正治療終了時 - 歯を抜かないで治療しました。

外科矯正を併用

前歯が出ていること、前歯が咬み合わないこと、前歯がでこぼこなのを気にされて来院されました。

<治療開始前>
上下前歯が咬み合っていない開咬(かいこう)という状態です。上下歯並びはでこぼこで上下前歯が出ている上下顎前突(じょうげがくぜんとつ)という状態ですが、上の方がより前方へ出てしまっています。また顎の形に左右差があり下前歯の真ん中が右側へズレてしまっています。

<治療途中>
上下前歯の突出およびでこぼこを改善するために上下小臼歯という歯をそれぞれ2本ずつ(計4本)抜歯しています。前歯の噛み合わせと歯並びがだいぶ改善してきているのが分かります。この後さらに上下の噛み合わせを改善します。

<治療終了時>


<治療開始前>

<治療途中>

<治療終了時>

<治療前後の横顔の比較>



左:治療開始前、右:治療終了時
治療開始前には口元が出ており、特に下の唇の突出が目立ちます。治療終了時には口元の突出感が軽減し、特に下の唇から顎にかけたラインがきれいになっているのが分かります。





治療終了後のスマイル!
前歯のでこぼこと上下前歯の突出が気になるとのことで来院されました。口唇を閉じにくく、無理して閉じたときに下顎の部分に力こぶとしわができることも気にされていました。

本来、上の前歯が下の歯に2~3mm覆いかぶさるのですが、前歯が咬み合っていません。開咬(かいこう)という噛み合わせです。また前歯にでこぼこを認めます。

横から見ると奥歯しか噛んでおらず前歯が噛んでいません。上下前歯は前方に突出(出っ歯)しています。上下顎前突(口ゴボ)という状態の噛み合わせでもあります。

口唇を閉じようとすると閉じにくく、無理に閉じると下顎の部分(オトガイ部)に力こぶと梅干し状のしわができてしまいます。前歯が咬み合っていない場合や上下前歯が突出(出っ歯)の場合は口唇が閉じにくく、このような顎にできるしわを気にされる方が多いです。

治療は上下前歯の突出(出っ歯)と前歯のでこぼこの改善、また前歯を咬み合うようにするために上下小臼歯という歯の抜歯を行い治療を開始しました。現在まだ治療途中で仕上げの段階ですが、初診時の状態と現在の状態を比べてみました。
口腔内の変化
左:初診時、右:治療開始1年11ヶ月












左:初診時、右:治療開始1年11ヶ月(治療途中)
顔貌・口元の変化









左:初診時、右:治療開始1年11ヶ月(治療途中)
<矯正治療を始めるきっかけ>
八重歯、前歯がでこぼこなことを気にされて来院されました。とくに八重歯の部分の歯磨きがしにくいということでした。また前歯が噛み合わないこと、上前歯の真ん中がズレていることなども気にされていらっしゃいました。

<治療開始前>
左上の犬歯が八重歯になってしまっており、そのため上真ん中は大きく左へズレています。また本来、上の前歯は下の前歯に覆いかぶさらないといけないのですが、上下前歯は咬み合っていません。

<治療開始6ヶ月後>
歯が並ぶスペースが著しく不足しているためこれを解消すること、また上下の咬み合っていない前歯の状態を解消するために上下とも抜歯を行い治療を開始しました。
治療開始から6ヶ月後、八重歯は改善しています。この後、上下の噛み合わせの改善を行いました。

<矯正治療後>治療期間22ヶ月
歯の移動を終了して装置を除去、保定に入りました。



左:治療前 右:治療後(非抜歯)
右写真は治療が終了して装置を外した時のものです。写真の使用に際して快く承諾して頂いたnaokoさんありがとうございます。
MEAW(マルチループワイヤー)で治療しました。MEAWを使用すると診断によっては歯を抜かないで噛み合わせを改善できることがあります。



左:歯の移動開始時 - 装置装着時、前歯で噛めない噛み合わせの状態
右:矯正治療終了時 - 歯を抜かないで治療

矯正歯科治療に伴う一般的なリスクや副作用について