このような症状は「上顎前突(じょうがくぜんとつ)/口ゴボ」で、上顎や上の前歯が前に飛び出している状態です。一般的には「出っ歯」と呼ばれ、歯だけが前方に飛び出している場合と、上顎全体が突き出ている場合があります。考えられる原因はいくつかあり、前歯の角度が大きい、上顎が成長し過ぎている、下顎の未発達、指しゃぶりの癖などがあります。また鼻炎や蓄膿症の疾患があり口で呼吸をしているお子さまもこの傾向にあります。

《矯正治療Q&A》
矯正治療の抜歯について-① なぜ抜歯をしなければならない場合があるのですか?
矯正治療の抜歯について-② 出っ歯を治すにはどうすればよいですか?
矯正治療の抜歯について-③ 抜歯した場合としない場合ではどう違うのですか?
矯正治療の抜歯について-④ 抜歯をしないでも済むのはどのような場合ですか?


《 症例一覧 》
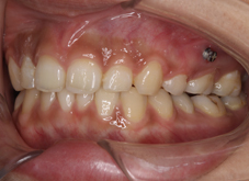
口ゴボが気になる、上下顎前突の矯正治療、裏側の矯正治療 31歳 女性
前歯が出ていて気になる 上顎前突の矯正治療 31歳 女性
上下前歯のでこぼこ 上顎前突の矯正治療 23歳 女性
前歯が出ている、上顎前突の矯正治療 35歳 女性
前歯が出ている、深い噛み合わせの矯正治療 30歳 女性
前歯がでこぼこ、出っ歯の矯正治療、裏側の矯正治療 20歳 女性
前歯がでこぼこ、前歯が出ている、裏側の矯正治療 20歳 女性
八重歯、出っ歯の矯正治療、裏側の矯正治療 25歳 女性
前歯がでこぼこで出っ歯の矯正治療 20代 女性
前歯がでこぼこで出っ歯の矯正治療 19歳 女性
前歯がでこぼこ、前歯が出ている矯正治療 26歳 女性
出っ歯の矯正 ミニインプラント矯正について

上下の前歯がでていることと口ゴボが気になるとのことで来院されました。

本来、上の前歯が下の歯に2~3mm覆い被さるのですが、前歯が咬み合っていません。開咬(かいこう)という噛み合わせです。また前歯にでこぼこを認めます。

横から見ると奥歯しか噛んでおらず前歯が噛んでいません。上下前歯は前方に突出(出っ歯)しています。上下顎前突(じょうげがくぜんとつ)という状態の噛み合わせでもあります。

口唇を閉じようとすると閉じにくく、無理に閉じると下顎の部分(オトガイ部)に力こぶと梅干し状のしわができてしまいます。
前歯が咬み合っていない場合や上下前歯が突出(出っ歯)の場合は口唇が閉じにくく、このような顎にできるしわを気にされる方が多いです。

治療は上下前歯の突出(出っ歯)と前歯のでこぼこの改善、また前歯を咬み合うようにするために上下小臼歯という歯の抜歯を行い治療を開始しました。現在まだ治療途中で仕上げの段階ですが、初診時の状態と現在の状態を比べてみました。
口腔内の変化












顔貌・口元の変化









左:初診時、右:治療開始1年11ヶ月(治療途中)
前歯が出ていることと、前歯のでこぼことを気にされて来院されました。

笑った時に前歯が出て見え、とくに左前歯が前に出ているのを気にされていました。


上の前歯が前方へ突出していることと、前歯にでこぼこが認められます。上は前歯を後方へ引っ込めるために第一小臼歯という歯を抜歯しています。


上の前歯のでこぼこは改善し、前方への突出(出っ歯)も改善しています。



左:初診時、右:治療後
前歯の突出が改善しています。裏側の装置でも口を開くと装置がついているのがわかりませんか?とよく聞かれます。

左は口を閉じた状態、右は少し開いた状態です。裏側の装置のため見た目に装置がついているのはまったく分かりません。
上下前歯のでこぼこと口元が出た感じを気にして来院された患者さまです。

<治療前>
上下とも前歯が前方に出ている程度が著く、でこぼこを改善しながら口元の出た感じを解消するためにも上下とも小臼歯という歯を抜歯して治療しました。



左:治療前、右:小臼歯抜歯後、装置装着



前歯の突出感やでこぼこが改善し、口元の突出感も改善しています。
この方の場合は、歯を抜かないで治療すると、でこぼこが改善するに従って前歯はさらに前方へ出てしまい、口元は突出してしまいます。
前歯が出ていることを気にされて来院されました。






左:治療前、右:治療後
前歯が出ていることと、噛み合わせが深いことを気にされて来院されました。






左:治療前、右:治療後
前歯のでこぼこと上下前歯の突出が気になるとのことで来院されました。口唇を閉じにくく、無理して閉じたときに下顎の部分に力こぶとしわができることも気にされていました。

本来、上の前歯が下の歯に2~3mm覆い被さるのですが、前歯が咬み合っていません。開咬(かいこう)という噛み合わせです。また前歯にでこぼこを認めます。

横から見ると奥歯しか噛んでおらず前歯が噛んでいません。上下前歯は前方に突出(出っ歯)しています。上下顎前突(口ゴボ)という状態の噛み合わせでもあります。

口唇を閉じようとすると閉じにくく、無理に閉じると下顎の部分(オトガイ部)に力こぶと梅干し状のしわができてしまいます。
前歯が咬み合っていない場合や上下前歯が突出(出っ歯)の場合は口唇が閉じにくく、このような顎にできるしわを気にされる方が多いです。

治療は上下前歯の突出(出っ歯)と前歯のでこぼこの改善、また前歯を咬み合うようにするために上下小臼歯という歯の抜歯を行い治療を開始しました。現在まだ治療途中で仕上げの段階ですが、初診時の状態と現在の状態を比べてみました。
口腔内の変化












顔貌・口元の変化









左:初診時、右:治療開始1年11ヶ月(治療途中)
前歯が出ていること、前歯のでこぼこを気にされて来院されました。

<治療開始前>
上前歯が前方へ突出しており、特に右側の突出が大きいです。また上下の前歯が噛み合っていません。

上下とも前歯のでこぼこが顕著です。




<治療開始7ヶ月後>



上下とも前歯のでこぼこが改善しています。またでこぼこの改善と同時に出ていた前歯は少し後退しています。この後、出ている前歯を積極的に後ろへ引っ込めます。






左:治療開始前、右:治療7ヶ月後(治療途中)
八重歯と上下前歯が出ていること、それに伴う口元の突出が気になるとのことで来院されました。

<治療開始時>

<治療開始8ヶ月後>

<治療開始11ヶ月後>(治療途中)

<治療開始時>

<治療開始8ヶ月後>

<治療開始11ヶ月後>

左:治療開始時、右:治療開始8ヶ月後
前歯が出ていることに加えでこぼこしていることを気にして来院されました。また前歯の出ている(出っ歯の)程度が大きいため前歯で物を噛み切れないお悩みもありました。一番のお悩みは前歯が出ている(出っ歯の)ため口元の突出感があり見た目を大変に気にされていらっしゃいました。

<治療開始時>
前歯のでこぼこに加え前歯の突出感(出っ歯の程度)が非常に大きいです。前歯を後ろに移動するために、前から4番目の第一小臼歯をという歯を抜歯することが治療期間としては効率的でした。しかしながら5番目の歯(第二小臼歯)が銀歯だったため、この歯の抜歯を行いました。

<治療開始8ヶ月後>
前歯の後方移動を確実に効率的に行うためアンカースクリューをいうチタン製のネジを使用しました。最近では主流の方法です。治療開始時に比べ出っ歯がかなり改善しているのが分かります。

<治療終了時>(1年10ヶ月後)


<治療開始時>

<治療開始8ヶ月後>

<治療終了時>(1年10ヶ月後)
前歯が出ていること、前歯のでこぼこを気にされて来院されました。

<初診時>
上下前歯にでこぼこがあり、特に右側の上前歯の突出が目立ちます。

<治療途中>
前歯の突出とでこぼこを改善するために上の第一小臼歯という歯を抜歯して治療を行っています。前歯の突出はだいぶ改善しています。

<治療終了時>
装置を外した時の写真。前歯の突出もでこぼこも改善しています。


<初診時>

<治療途中>

<治療終了時>

口元が出ていること、前歯が出ていること、歯並びがこぼこなことが気になり来院されました。
左:治療開始前、右:治療終了時



前歯がでこぼこで、上の左右前歯は捻じれています。また上下の前歯が出ており、口元が出ていることを気にされていました。



治療は上下の前歯を下げ、でこぼこを解消する余裕をつくるために、上下各2本ずつ(計4本)を抜歯しています。



治療後は前歯が後ろへ下がり、前歯のでこぼこや出ていることも改善しています。



前歯が出ていることを改善することで口元の突出も改善しています。



治療前は歯茎が出てしまうことが多かったのですが、前歯が後ろに下がることで唇を閉じやすくなり歯茎の露出も軽減しています。

矢印の部分が矯正用のミニインプラント。歯が無くなった場所に人工の歯根として植えるインプラントとは異なり、かなり細くて短いものです。材質はチタンで体に優しい材料です。

写真は表側の装置でミニインプラントを使用している状態です。上前歯の突出(出っ歯)を改善する手段として非常に有効です。前歯からミニインプラントに透明のゴムがかかっており、前歯を後ろに引っ張り、出っ歯を改善していきます。


裏側の装置の場合は、裏側にミニインプラントを植立します。表側からは見えません。この場合も上の前歯の突出を改善するために用いています。
以前はヘッドギアという装置やホールディング・アーチといった非常に大きな違和感のある装置を使用していましたが、このミニインプラントは非常に小さく植えた後はほとんど違和感はありません。
ミニインプラントはスクリューになっており、顎の骨にネジとして入れます。そういうと患者さまは大抵の場合びっくりして引いてしまうのですが、実際は歯を抜くより麻酔の量は少ないですし、処置時間は数分で終わってしまいます。施術後に患者さまに聞いてみると「何ともないです」とか「もう入れたんですか?」などの返事が多いです。
歯を抜くことは誰もがイメージとして想像できると思いますが、ネジを骨に入れるとなるとイメージし難いのでびっくりされて当然だと思います。7~10数mmの幅の歯を骨から抜くことに比べれば、直径1.5mm程度の太さのネジを入れる方が遥かに傷は小さいのです。但し1割弱くらいの確率で骨に上手く固定されない場合や抜けてしまう場合があります。その際は場所を変えて入れ直すことがあります。
ミニインプラントは、同じ働きをする以前の装置に比べるとかなり小さく、違和感が少なく矯正治療中の患者さまの負担を軽減できる有効な手段です。治療の確実性が増し、治療期間の短縮を図れます。
薬事法で矯正用の治療器具として今年の夏に3つのメーカーのスクリューが認可されましたが、当院でもそのミニインプラントを使用しております。

矯正歯科治療に伴う一般的なリスクや副作用について