このような症状を「叢生(そうせい)または乱杭歯(らんぐいば)、八重歯」といい、顎と歯のバランスの悪さから歯並びが悪くなります。顎に比べて歯が大きくなると、歯がきちんと治まるスペースが足りなくなり、歯列から飛び出してしまいます。そのため歯並びが悪くなり、歯がデコボコしたり、重なり合ったりします。いわゆる八重歯もこのタイプに属します。虫歯や歯周炎の原因になり、ひどくなると歯周病を引き起こすこともあります。

《 矯正治療Q&A 》
矯正治療の抜歯について-① なぜ抜歯をしなければならない場合があるのですか?
矯正治療の抜歯について-② 出っ歯を治すにはどうすればよいですか?
矯正治療の抜歯について-③ 抜歯した場合としない場合ではどう違うのですか?
矯正治療の抜歯について-④ 抜歯をしないでも済むのはどのような場合ですか?
部分矯正治療について


《 症例一覧 》
裏側の矯正治療、前歯がでこぼこ、出っ歯の矯正治療 20歳 女性
前歯のでこぼこ、八重歯、前歯が咬み合わない、噛み合わせが気になる 15歳 女性
前歯がでこぼこ、出っ歯の矯正治療、裏側の矯正治療 20歳 女性
八重歯、出っ歯の矯正治療、裏側の矯正治療 25歳 女性
八前歯がでこぼこ、出っ歯の矯正治療、裏側の矯正治療 18歳 女性
前歯がでこぼこの矯正治療、裏側の矯正治療 20歳 女性
前歯がでこぼこの矯正治療 27歳 女性
前歯がでこぼこの矯正治療 26歳 女性
八重歯の矯正治療 表側の矯正治療 20代 女性
八重歯の矯正治療 28歳 女性
前歯のでこぼこ矯正治療 マウスピース矯正治療 40代 女性
前歯のでこぼこと深い噛み合わせの矯正治療 裏側の矯正 20代 女性
八重歯・前歯のでこぼこ・出っ歯の矯正治療 裏側の矯正治療 30代 女性
前歯のでこぼこと八重歯の矯正治療 歯並び拡大による非抜歯矯正治療 22歳 女性
前歯のでこぼこ、歯並び拡大による非抜歯矯正治療、デーモン・ブラケット使用 18歳 女性
前歯のでこぼこの矯正治療、表側の目立たない装置、ホワイト・ワイヤー使用 32歳 女性
35歳 女性
30歳 女性
前歯のでこぼこと出っ歯の矯正治療、歯並びの後方拡大による非抜歯矯正治療 13歳 男子
前歯のでこぼこ、非抜歯矯正治療 子供の矯正
前歯のでこぼこ、デーモンクリアによる非抜歯矯正 20代 男性
前歯のでこぼこ、前歯が出ている、口元の突出 裏側の矯正治療 28歳 女性

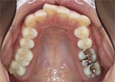
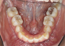
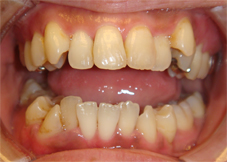
前歯のでこぼこと前歯が出ていて口元が突出していることが気になるとのことで来院されました。



上写真は初診時の顔と歯並びの写真です。前歯はでこぼこで、上前歯が出ていることが分かります。また横顔では口元の突出が認められます。


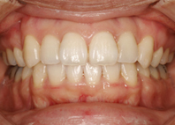
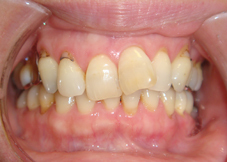
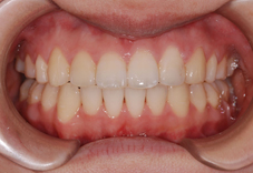
矯正装置は上が裏側の装置、下は表側の装置で治療を行いました。上前歯が出ているのことを改善するために上の永久歯(第一小臼歯)を抜歯しています。下は生まれつき永久歯(第二小臼歯)がなかった(先天性欠如の)ため歯を抜かずに治療しています。下の写真は左が矯正治療前、右が矯正装置を外した時のものです。



上前歯の突出と噛み合わせが改善し口元の突出も改善されて口元のラインがきれいになっています。



前歯のでこぼこが改善されることで笑った時の印象にかなり違いが出てきます。皆さん笑顔に自信を持たれるようになります。



上下前歯のでこぼこ、左上の八重歯が改善しています。



上前歯の突出(出っ歯)が改善されています。装置除去後に前歯の後戻りを考慮して少し余分に前歯を後退させています。






左:矯正治療前、右:矯正装置除去時
上下前歯のでこぼこ、歯列の不正が改善しています。







八重歯の矯正治療:口元の変化について

前歯のでこぼこと八重歯、噛み合わせが気になり来院されました。

<治療開始前>

<治療中>

<治療終了時>






<口元の変化について>
治療前(左写真)に比べて、治療後(右写真)はスマイル、横顔の口元の状態がとても良くなっています。
前歯のでこぼこと上下前歯の突出が気になるとのことで来院されました。口唇を閉じにくく、無理して閉じたときに下顎の部分に力こぶとしわができることも気にされていました。

本来、上の前歯が下の歯に2~3mm覆いかぶさるのですが、前歯が咬み合っていません。開咬(かいこう)という噛み合わせです。また前歯にでこぼこを認めます。

横から見ると奥歯しか噛んでおらず前歯が噛んでいません。上下前歯は前方に突出(出っ歯)しています。上下顎前突(口ゴボ)という状態の噛み合わせでもあります。

口唇を閉じようとすると閉じにくく、無理に閉じると下顎の部分(オトガイ部)に力こぶと梅干し状のしわができてしまいます。前歯が咬み合っていない場合や上下前歯が突出(出っ歯)の場合は口唇が閉じにくく、このような顎にできるしわを気にされる方が多いです。

治療は上下前歯の突出(出っ歯)と前歯のでこぼこの改善、また前歯を咬み合うようにするために上下小臼歯という歯の抜歯を行い治療を開始しました。
現在まだ治療途中で仕上げの段階ですが、初診時の状態と現在の状態を比べてみました。
口腔内の変化












左:初診時、右:治療開始1年11ヶ月(治療途中)。
顔貌・口元の変化









左:初診時、右:治療開始1年11ヶ月(治療途中)。
八重歯と上下前歯が出ていること、それに伴う口元の突出が気になるとのことで来院されました。

<治療開始時>

<治療開始8ヶ月後>

<治療開始11ヶ月後>治療途中

<治療開始時>

<治療開始8ヶ月後>

<治療開始11ヶ月後>

左:治療開始時、右:治療開始8ヶ月後
前歯のでこぼこと前歯の突出が気になるとのことで来院されました。

<治療開始時>:上歯並びの拡大開始時
下の歯並びにに対して上が狭かったため上歯並びの拡大を行いました。抜歯は最初は行わずに口元の状態、噛み合わせの状態が思わしくないようであれば抜歯することとしました。

<治療開始6ヶ月後>:上歯並びのj拡大後(拡大装置の除去時)
この後、裏側の装置を装着し歯並びと噛み合わせの改善を開始しました。

<裏側の装置装着12ヶ月後>:
抜歯は行わずに12ヶ月でここまで並びました。この後、細かい部分の歯並びと噛み合わせの微調整を行いました。

<裏側の装置装着16ヶ月後>:治療終了時(装置除去時)
拡大装置を含め、歯の移動を開始してから終了するまでの期間はおよそ2年でした。

<治療前後の比較>左:治療開始時、右:治療終了時(装置除去時)
前歯が出ていること、前歯のでこぼこを気にされて来院されました。

<治療開始前>
上前歯が前方へ突出しており、特に右側の突出が大きいです。また上下の前歯が噛み合っていません。

上下とも前歯のでこぼこが顕著です。

下写真は治療途中ではありますが治療7ヶ月後での比較です。



左:治療開始前、右:治療7ヶ月後



上下とも前歯のでこぼこが改善されています。またでこぼこの改善と同時に出ていた前歯は少し後退しています。この後、出ている前歯を積極的に後ろへ引っこめていきます。






左:治療開始前、右:治療7ヶ月後(治療途中)
前歯が出ていること、前歯が咬み合わないこと、前歯がでこぼこなのを気にされて来院されました。

<治療開始前>
上下前歯が咬み合っていない開咬(かいこう)という状態です。上下歯並びはでこぼこで上下前歯が出ている上下顎前突(口ゴボ)という状態ですが、上の方がより前方へ出てしまっています。また顎の形に左右差があり下前歯の真ん中が右側へズレてしまっています。

<治療途中>
上下前歯の突出およびでこぼこを改善するために上下小臼歯という歯をそれぞれ2本ずつ(計4本)抜歯しています。前歯の噛み合わせと歯並びがだいぶ改善してきているのが分かります。この後さらに上下の噛み合わせを改善していきます。
<治療前後の口腔内の比較>
左:治療開始前、右:治療終了時












<治療前後の横顔の比較>



治療開始前には口元が出ており、特に下の唇の突出が目立ちます。治療終了時には口元の突出感が軽減し、特に下の唇から顎にかけたラインがきれいになっているのが分かります。

治療終了後のスマイル!
口元が出ていること、前歯が出ていること、歯並びがこぼこなことが気になり来院されました。左写真は治療開始前、右写真は治療終了時のものです。



前歯がでこぼこで、上の左右前歯は捻じれています。また上下の前歯が出ており、口元が出てしまっていることを気にされていました。



治療は上下の前歯をさげる余裕をつくるため、またでこぼこを解消する余裕をつくるために、上下各2本ずつ(計4本)を抜歯しています。



治療後には前歯が後ろへさがり前歯のでこぼこも前歯の出ていることも改善されています。



前歯の出ていることが改善することによって口元の突出も改善しています。



治療前は歯茎が出てしまうことが多かったのですが、前歯が後ろにさがることで唇も閉じやすくなり歯茎の露出も軽減しています。
前歯のでこぼこと八重歯を気にされて来院されました。
左上の犬歯がかなり上から生えてきて八重歯になっています(左写真)。前歯の脇の歯は内側に入ってしまい前歯がでこぼこで、どちらの歯も磨きにくく汚れがたまりやすい状態です。
特に八重歯の状態は他の歯より上に位置するため磨き残されやすく、虫歯にしてしまいがちなので要注意です。

<治療開始前>
左上の犬歯が八重歯になっており、そのため上真ん中は大きく左へズレています。また本来、上の前歯は下の前歯に覆いかぶさらないといけないのですが、上下前歯は咬み合っていません。

<治療開始6ヶ月後>
歯が並ぶスペースが著しく不足しているためこれを解消すること、また上下の咬み合っていない前歯の状態を解消するために上下とも抜歯を行い治療を開始しました。治療開始から6ヶ月後、八重歯は改善しています。この後、上下の噛み合わせの改善を行いました。

<矯正治療後>治療期間22ヶ月
22ヶ月後、歯の移動を終了して装置を除去、保定に入りました。装置は表側の装置ですが目立ちにくいタイプのもの使用しています。材質はサファイアで透明度が高いため歯の色と馴染むのが特徴です。ワイヤーはホワイトワイヤーを使用してさらに目立ちにくくしています。
<治療の途中ですがひと言>
治療を始める前は歯並びがでこぼこということもあり汚れがひどかったのですが、半年後に八重歯も改善してくるとモチベーションが上がって歯磨きにも熱心に取り組まれ、歯磨きの状態はとても良くなってきました。装置が着くと磨きずらくなるため全体的に虫歯にならないか心配していたのですが、ブラッシングがとても上手になってでこぼこの歯だけでなくほかの歯たちも救われてホッとしましたよ。見た目が変わると意識も変わりますよね!
笑った時の八重歯を気にして来院された患者さまです。



写:矯正治療前、右:治療後
上下とも八重歯の状態が治療後は改善しています。歯並びがきれいに並んで、その後ホワイトニングも行いました。



前歯の歯並びのでこぼこも解消しました。



上の前歯が前に突出していた状態も改善して前歯が引っこんでいます。



前歯の歯並びが改善すると笑った時の雰囲気もかなり変わりますよね。この後すぐに結婚式が控えておりましたが、ホワイトニングも行って挙式に臨んでいただきました。

<治療を終わってひと言>
何よりご結婚おめでとうございます!結婚式の写真を送って頂けたのがとても嬉しかったです♪歯並びも治って、ホワイトニングもされて、さらに純白のウエディングドレスがとても素敵でした!今は東京を引っ越されてしまいましたが、毎年、年賀状をありがとうございます。お幸せそうで嬉しいです。
前歯のでこぼこを気にされて来院されました。



左の前歯が大きく捻じれています(左写真)
マウスピースタイプの装置(インビザライン)で行いました。



左:治療開始前、右:治療終了時(治療期間7ヶ月)
<治療を終わってひと言>
マウスピースタイプの矯正治療は装置の使用時間がとても重要ですが、毎回きっちり使用していただき治療はとてもスムーズに進みました。「最初のねじれていた歯が嘘みたい!」と、とても喜んで頂き私もとても嬉しかったです!
前歯のでこぼこと噛み合わせの治療を希望されて来院されました。
今年2月に裏側の装置を装着しましたが、その直後に11月に結婚式を挙げることになり、式までにでこぼこがある程度良くなればよいなというご希望でした。
歯並びの幅が狭く、上下の前歯がでこぼこになっています。また噛み合わせが深く、下の前歯が隠れてしまっています。



左:治療開始前、右:治療開始3ヶ月(治療途中)
治療途中ですが、大部分のでこぼこが改善しています。隠れていた下の前歯がだいぶ見えています。



※写真は下の前歯が見えるように少し口を開いて撮影したものです。上下とも前歯のでこぼこがだいぶ改善しています。
装置は裏側の矯正装置で治療を行っているため普段は目立ちません。






左:治療開始前、右:治療開始3ヶ月(治療途中)
上下から見た歯並びの状態も改善しつつあります。
<治療の途中ですがひと言>
治療開始3ヶ月ですが前歯のでこぼこは大部分改善しつつあり、11月の結婚式まであと5ヶ月、さらにきれいな状態で式に臨めそうで何よりです!
前歯のでこぼこと八重歯の治療を希望されて来院されました。
※左右でカメラが異なるので少し明るさ・濃さに違いがあります。ご了承ください。



左:初診時、右:治療開始7ヶ月(治療途中)
上は裏側の装置、下は表側の装置で治療を行っています。上の装置が目立たないだけでも患者さまの気持ち的な負担は少ないですよね。



少し口を開いて撮影したもの。治療開始7ヶ月で上の八重歯、下の歯のでこぼこがかなり改善したので患者さまにとても喜んで頂いています。



上の歯並びの状態を見た写真です。初診時は前歯の真ん中が右へかなりズレていましたが、解消しています。前歯の真ん中の改善、出っ歯の改善にはミニインプラントを使用しています。とても効果的な手段のひとつです。



下前歯のでこぼこもだいぶ治っています。



上前歯は最初、出っ歯でしたが上前歯は下の前歯まで下がっています。



スマイルです!左は初診時(ピントが合っていなくてショックです…)
<治療の途中ですがひと言>
治療開始7ヶ月で治療途中ですが、前歯のでこぼこも八重歯も改善し、スマイルはとっても良い雰囲気です!この後、さらに上下の噛み合わせをさらに良くしますので頑張りましょうね。写真の掲載に際して快く承諾して頂き感謝しております。本当にありがとうございます。
前歯のでこぼこと八重歯が気になり治療を行いました。

左:治療前、右:矯正治療終了後
治療後のスマイル・ラインが良好になっています。
前歯のでこぼこ、歯並びが気になり来院された患者さまです。奥歯の歯並びは狭く、歯が並ぶスペースが不足して前歯がでこぼこになっています。スマイルラインも良好ではありません。






左:治療前、右:治療後
デーモンブラケットという装置で歯並びを拡大しながら抜歯をせずに治療を行いました。スマイルの雰囲気も改善しています。
上の脇の歯が引っこんでいるため笑った時にその部分が暗く見えることを気にして来院された患者さまです。



左:治療開始前
左上の側切歯(向かって右の2番目の前歯)が内側に入ってしまっていて下の歯と反対に咬み合っています。



右:矯正治療開始2ヶ月(治療途中)
反対の前歯は2ヶ月で改善しました。この後、さらにきれいに並ぶように最終的な歯並びの修正を行います。
前歯が出ていることが気になり来院されました。






左:治療前、右:治療後
前歯が出ていることと、噛み合わせが深いことを気にされて来院されました。






左:治療前、右:治療後
前歯の隙間と奥歯が内側に入ってしまっているのを気にされて来院されました。


<治療前>
前歯の真ん中に隙間があり、前歯は前方に飛び出てしまっています。そのため“サ行”の発音が抜けてしまう感じでした。また左の糸切り歯の後ろの歯(第一小臼歯)が内側に入ってしまっています。


内側に入った奥歯は抜歯することも考えましたが、できる限り抜歯は避けるため奥歯を後ろへ移動して小臼歯を並べるためのスペースを確保しました。


スペースを確保した後は、ワイヤー矯正で内側に入っていた歯を並べます。



<治療終了後>
抜歯を行うことなく、内側に入っていた歯も歯並びに入り、出っぱっていた前歯も改善して、真ん中の隙間も閉じました。“サ行”の抜けた発音も改善しました。



左:治療前、右:治療終了後
歯を抜かずに八重歯を治療した子供の矯正治療例です。

治療開始時です。歯並びの幅を拡げるための装置を装着しています。装置は裏側で表からは見えません。

拡大途中の写真です。歯並びの幅が広がってきており、八重歯の程度も改善しつつあります。

拡大後にワイヤー矯正で歯並びの改善を行いました。噛み合わせは受け口の傾向があったため、先に上の歯並びを治療し、上と咬み合わせの状態、下顎の成長の程度をみて下顎の矯正治療も行いました。
前歯のでこぼこが気になるとのことで来院されました。上前歯の脇の歯(側切歯)が内側に入って、下の歯と反対に噛んでしまっています。






前歯のでこぼこと前歯が出ていること、口元の突出感が気になることで来院されました。


















左:初診時、右:矯正治療終了時

矯正歯科治療に伴う一般的なリスクや副作用について